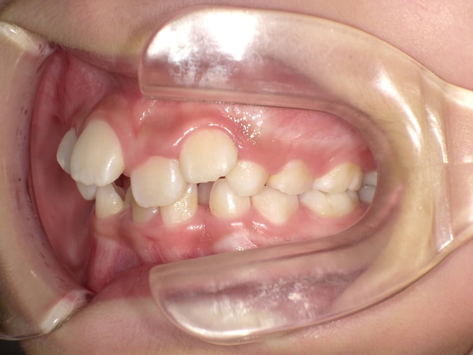
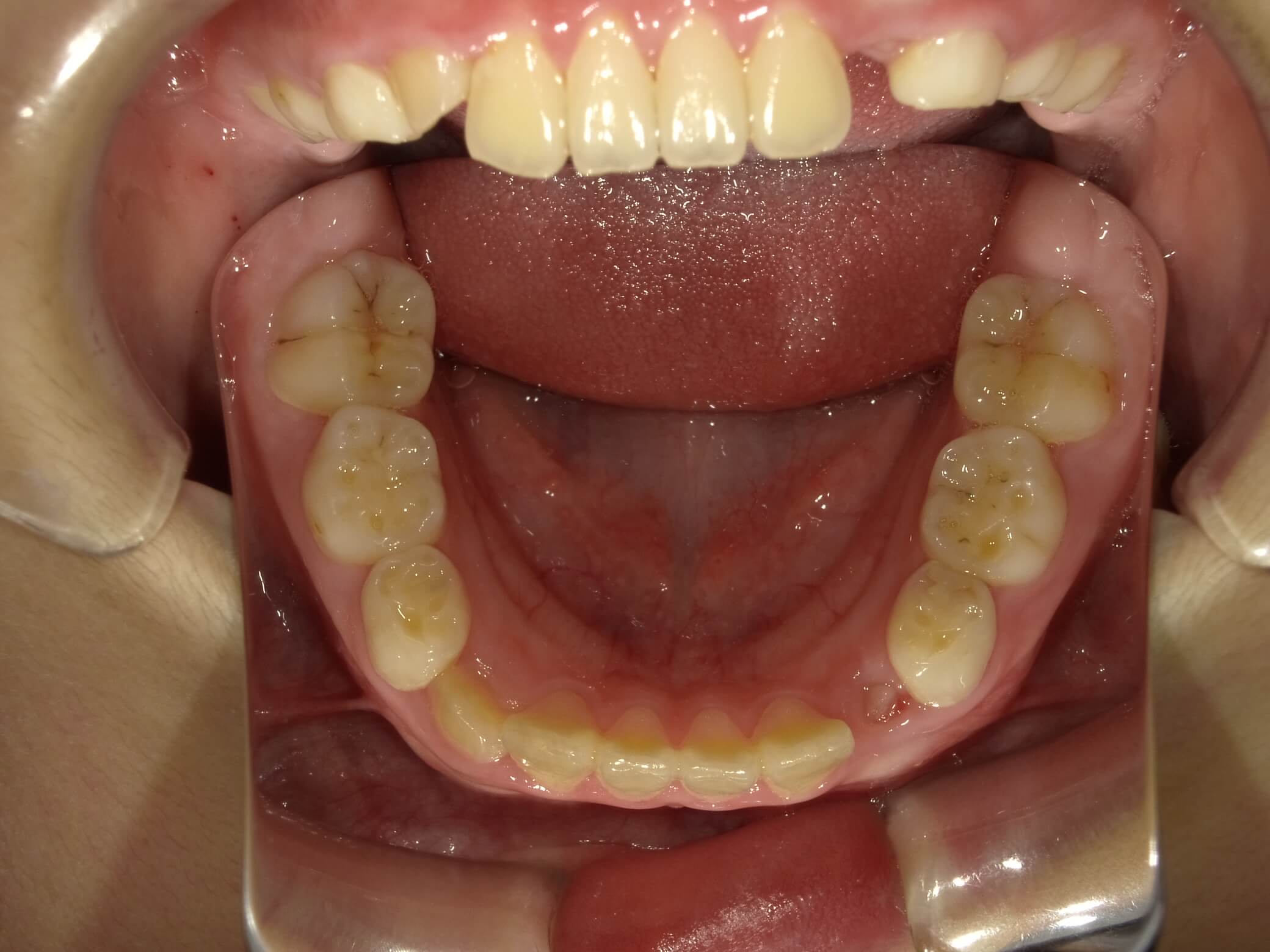
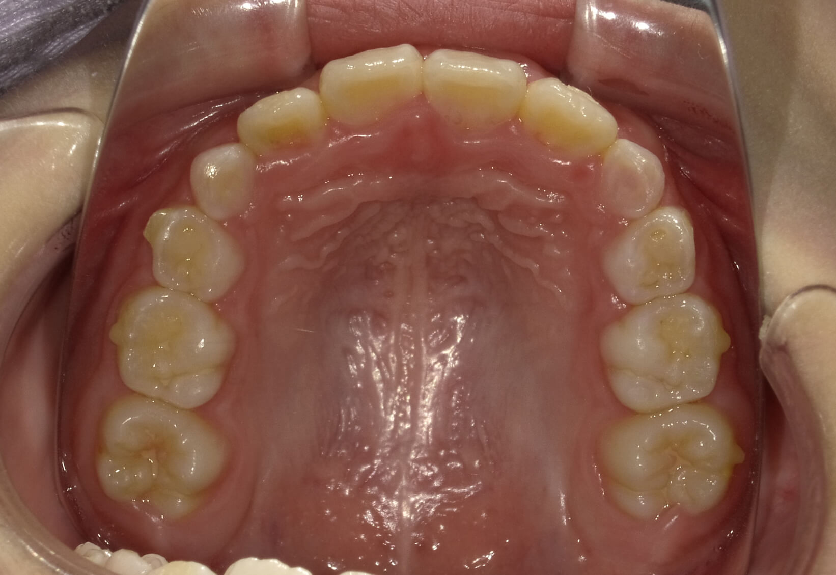
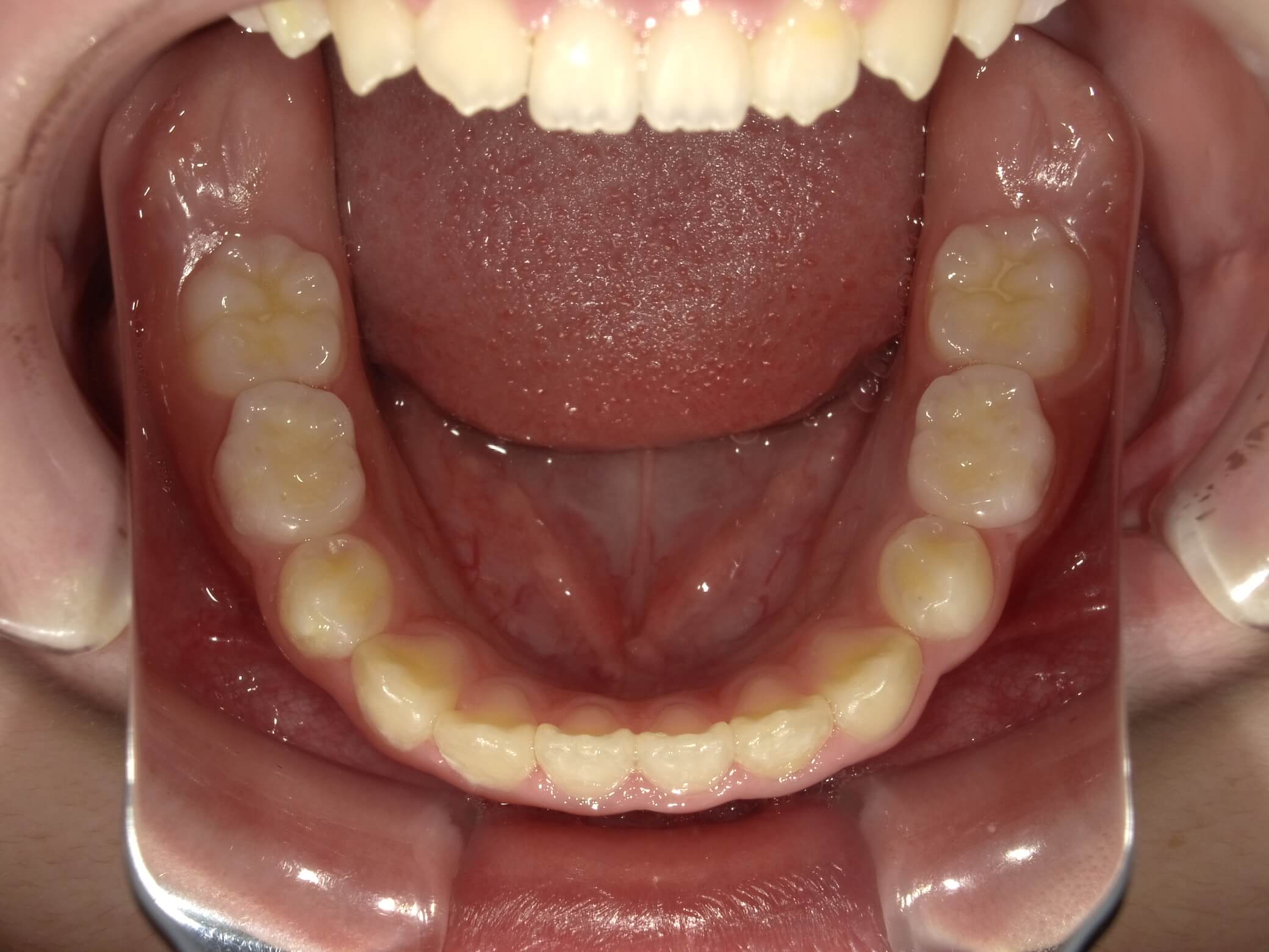
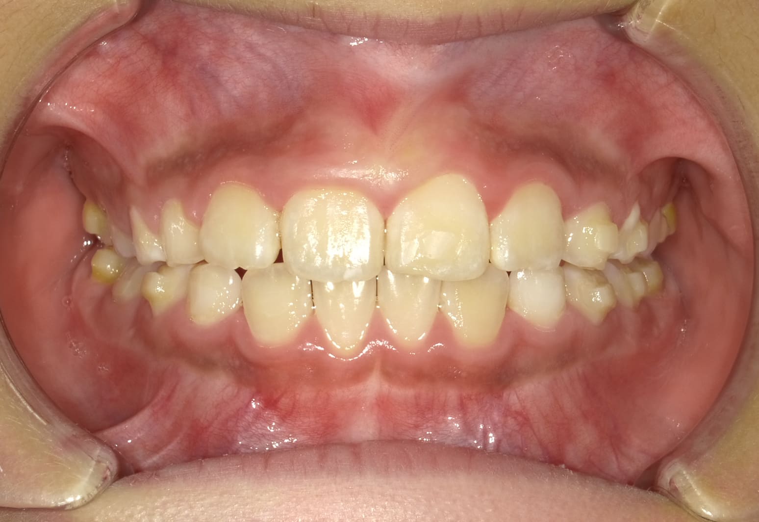
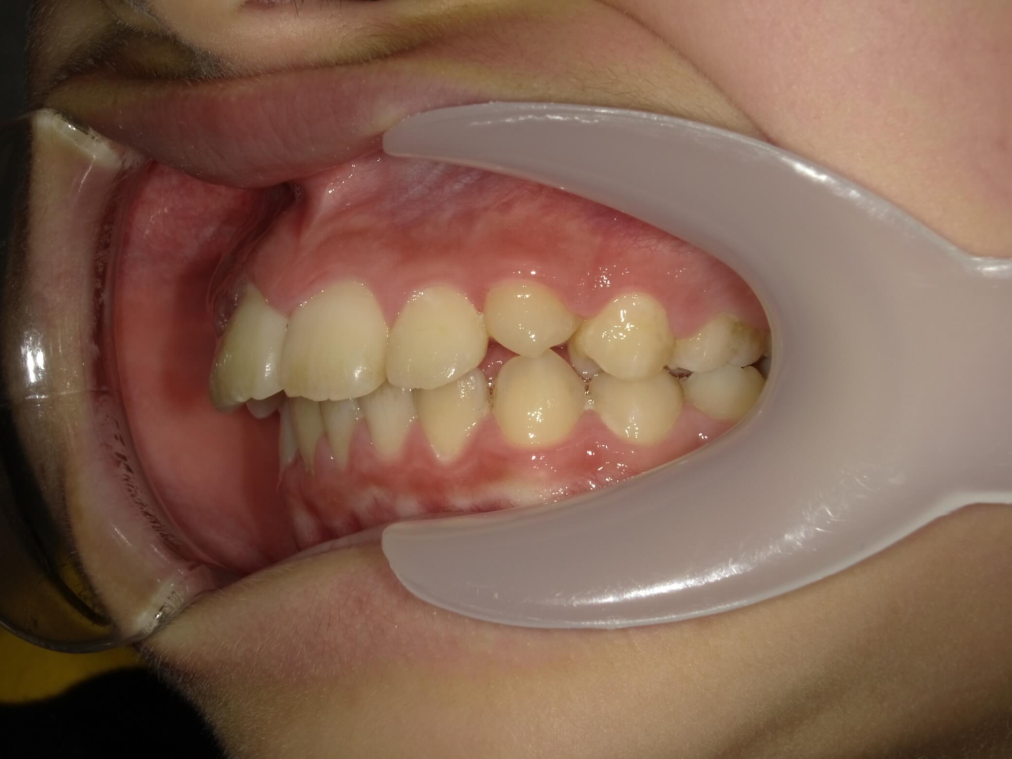
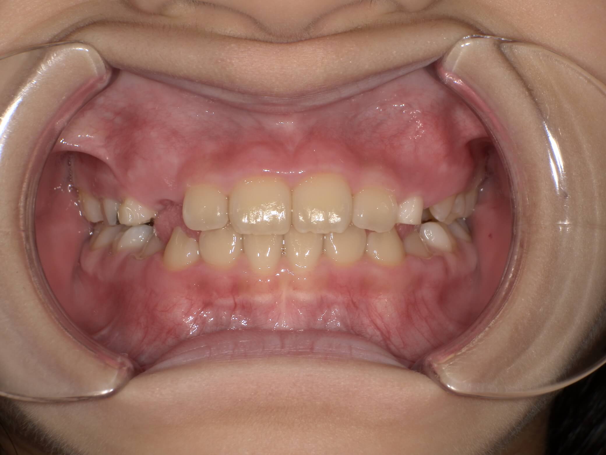
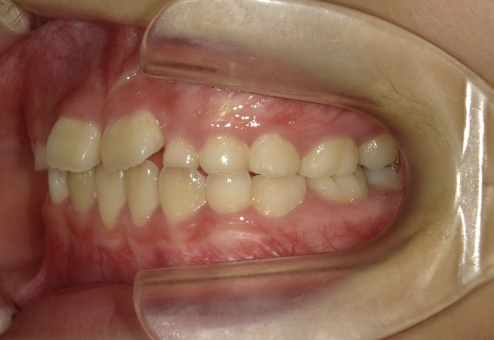
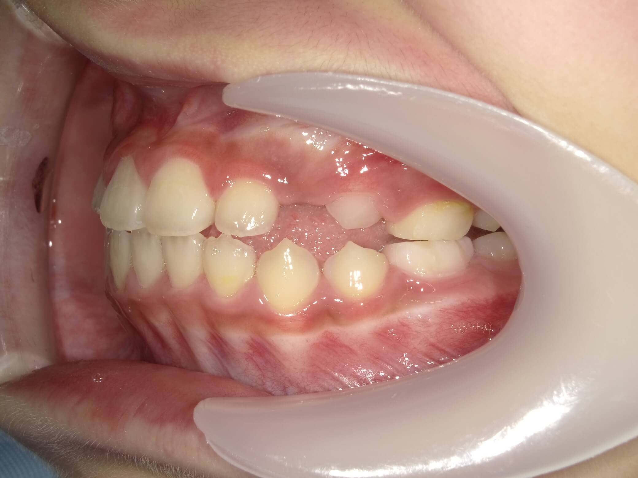
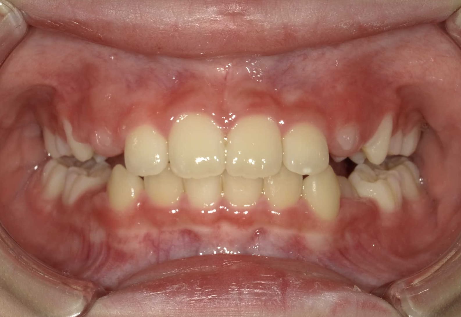
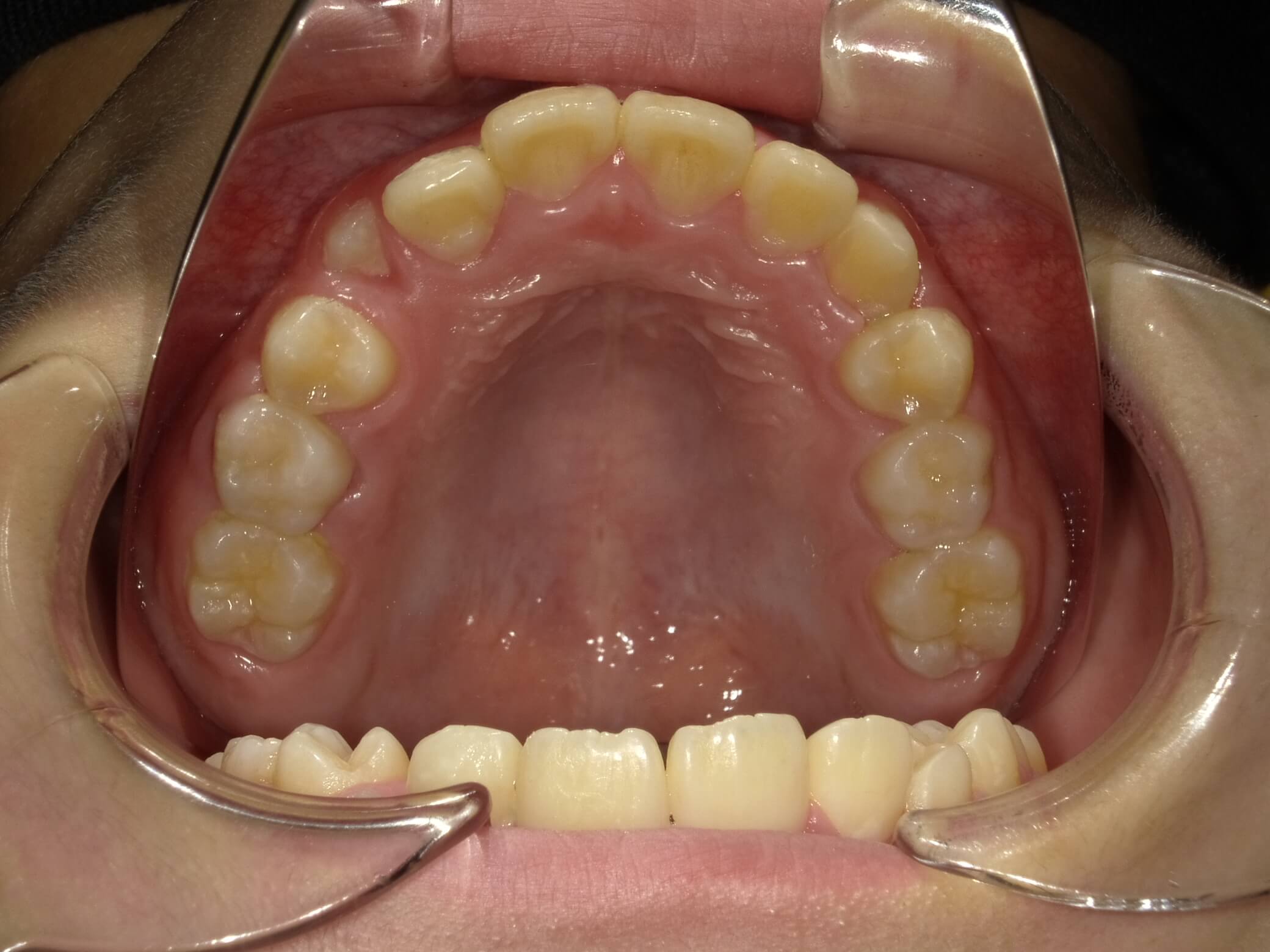
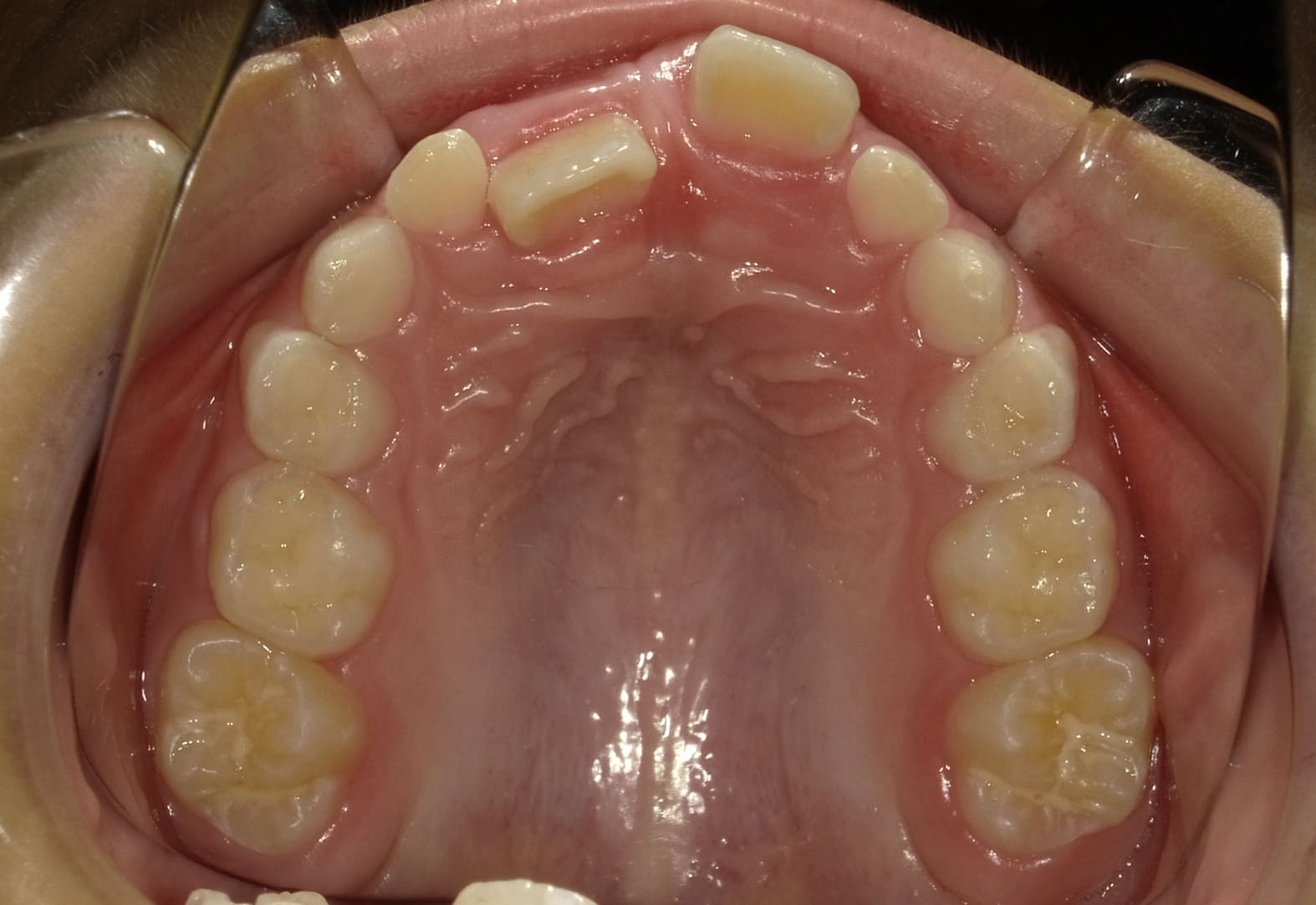
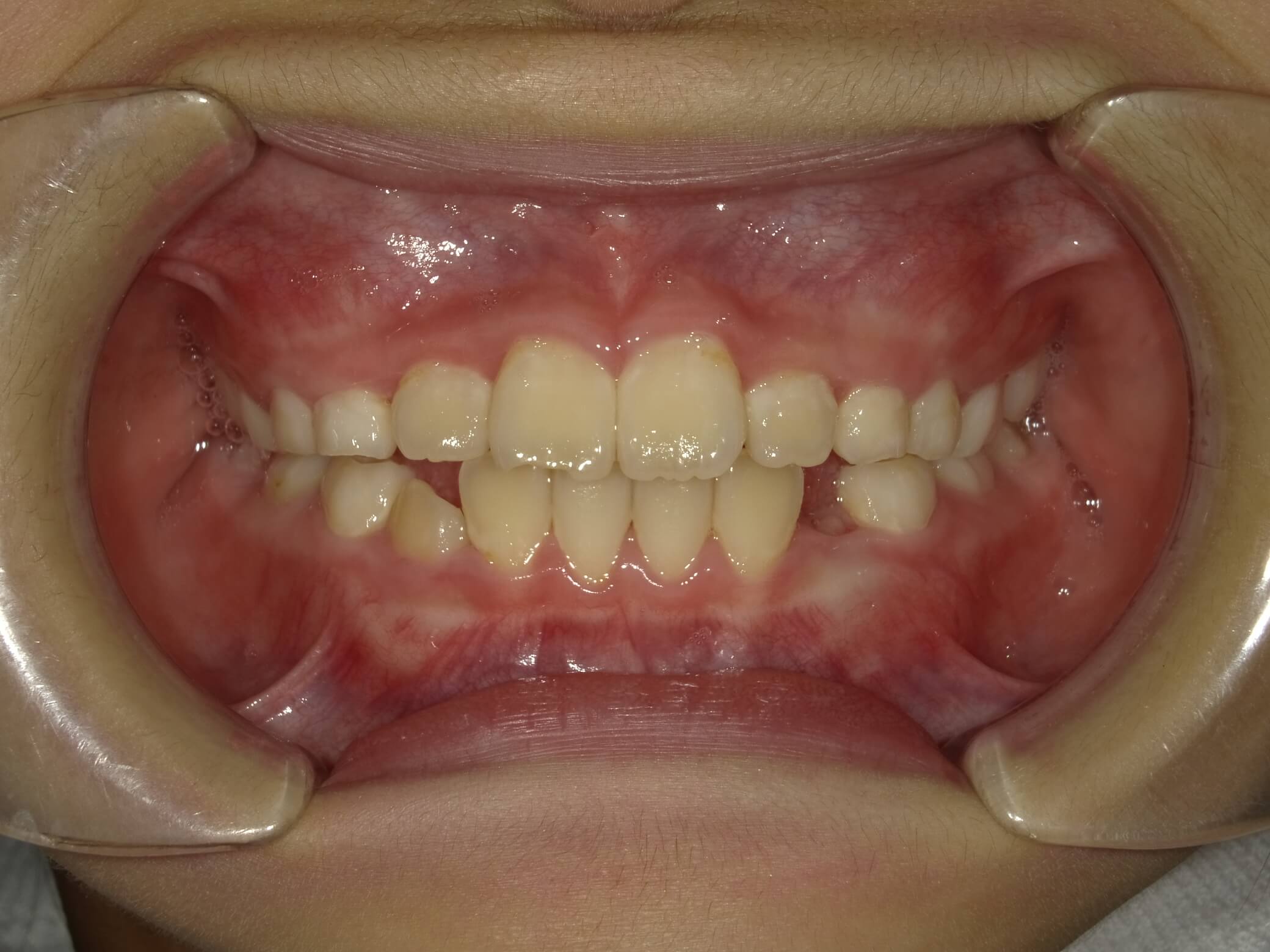
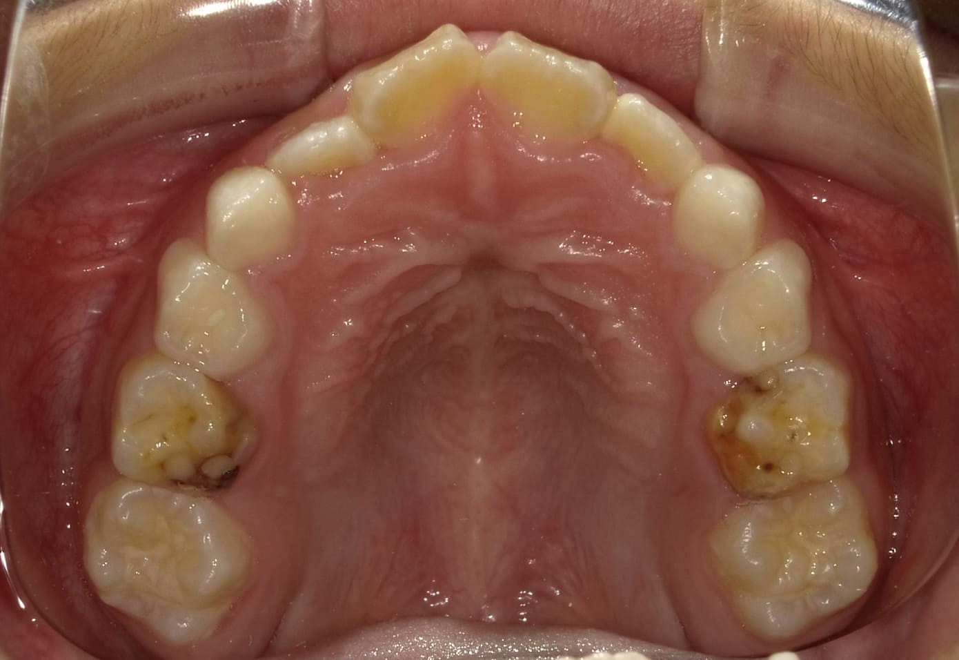
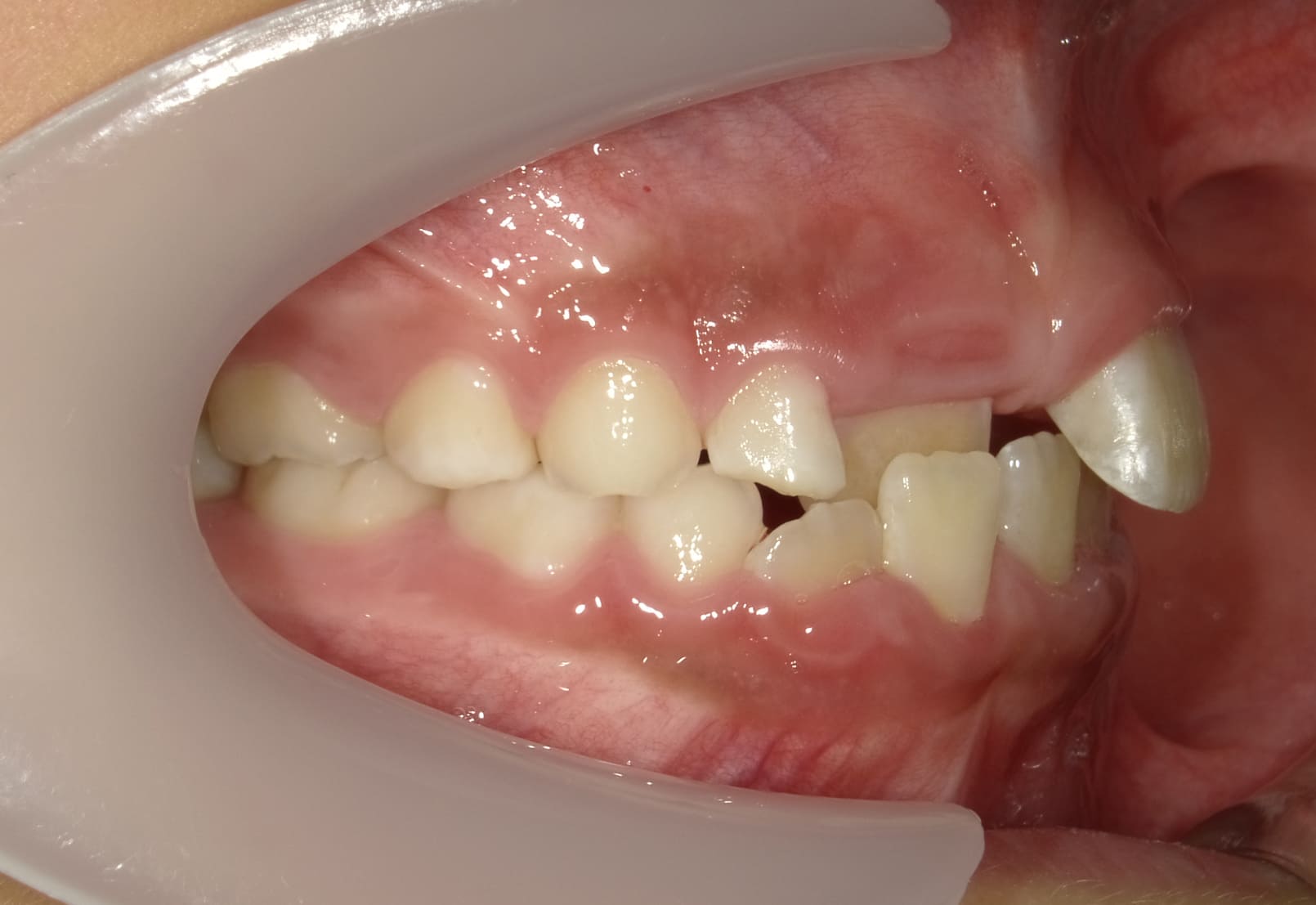
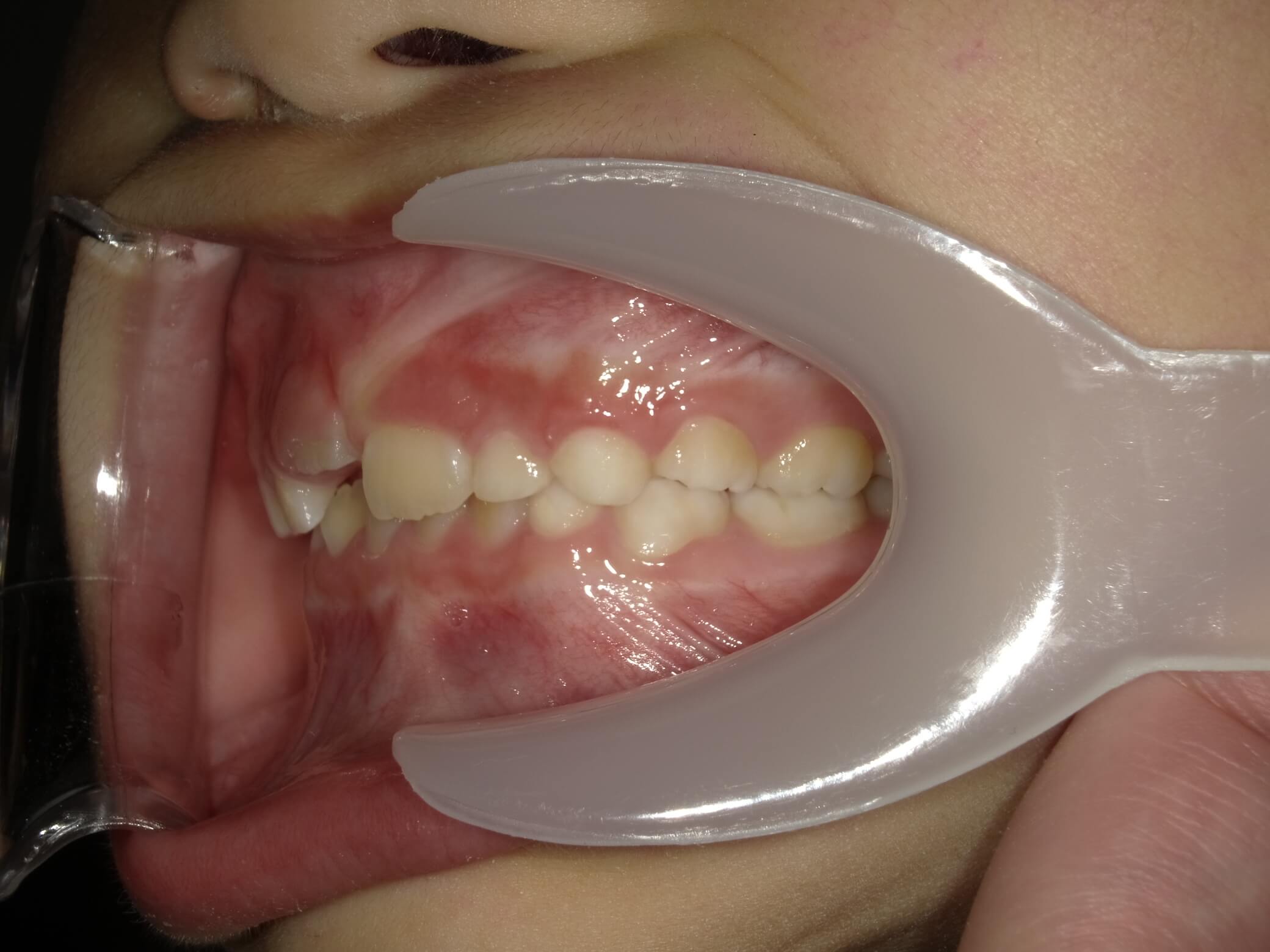
私はこれまで20年間以上、ワイヤー矯正をはじめとする治療方法にて、患者様に適した矯正治療を行い、様々な症例に対応して参りました。
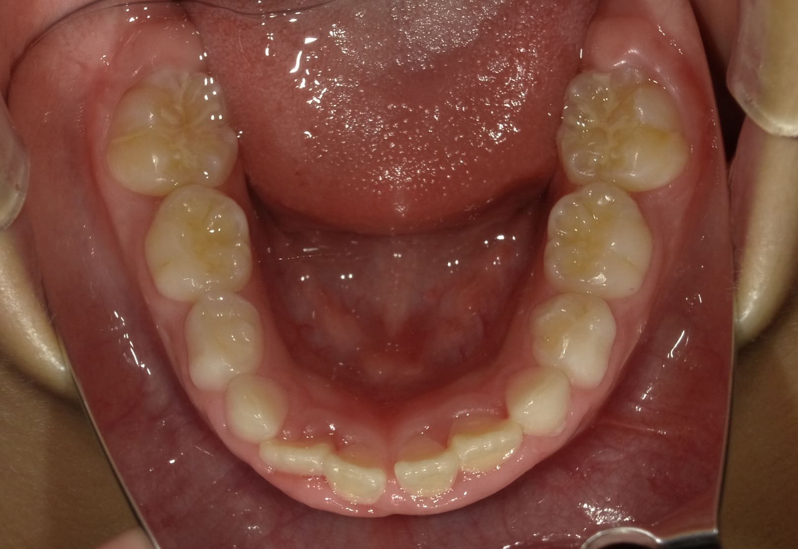
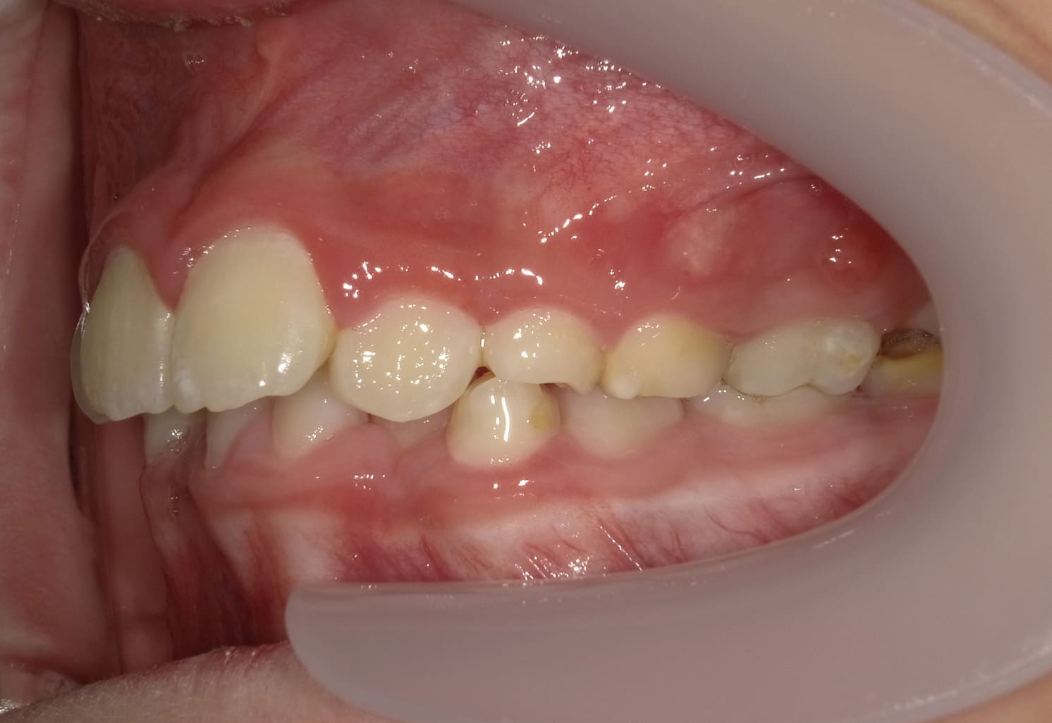
矯正歯科(北海道)での3年間の研修期間では、一般的なマルチブラケット矯正での臨床経験を積みました。
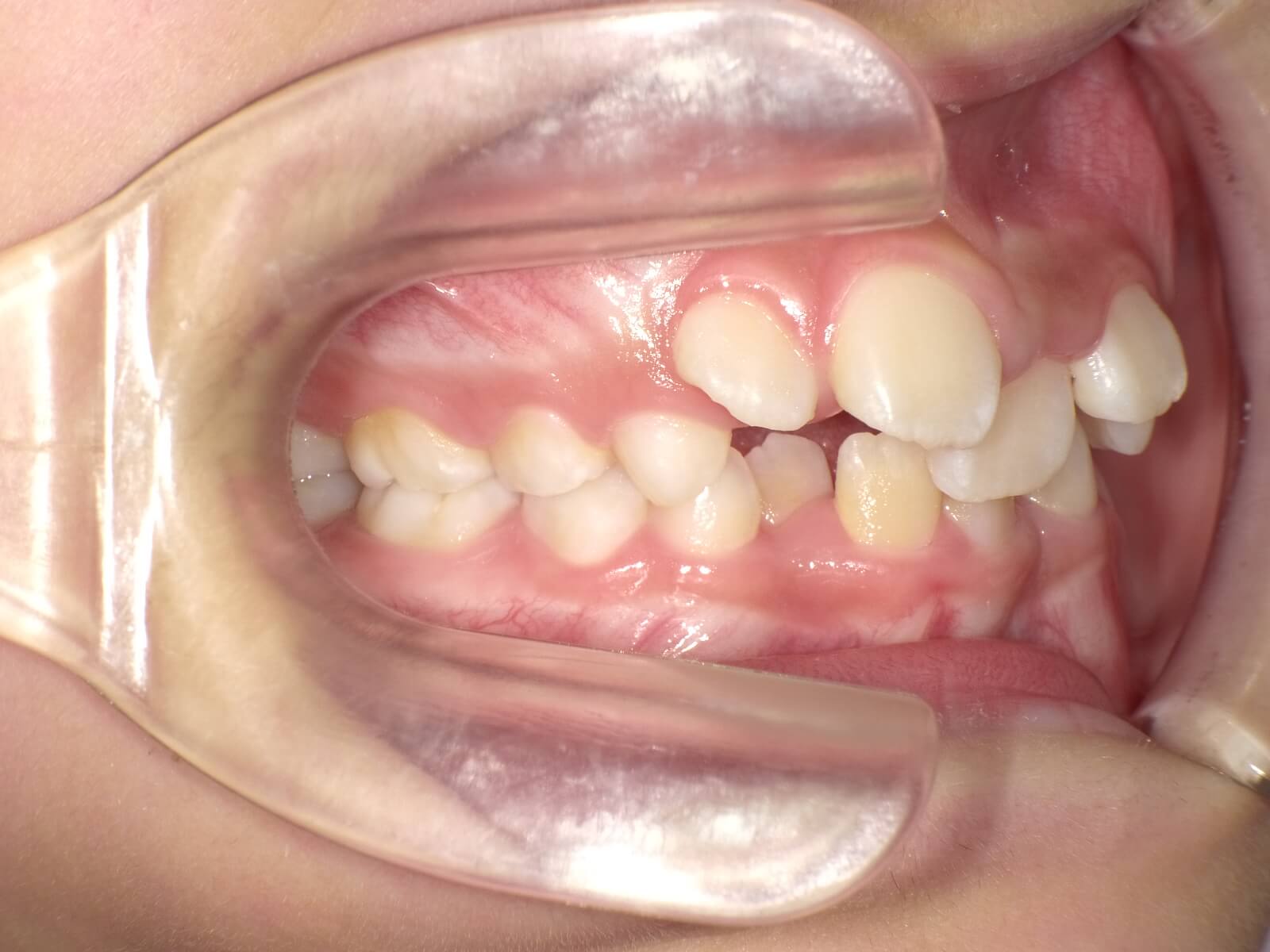
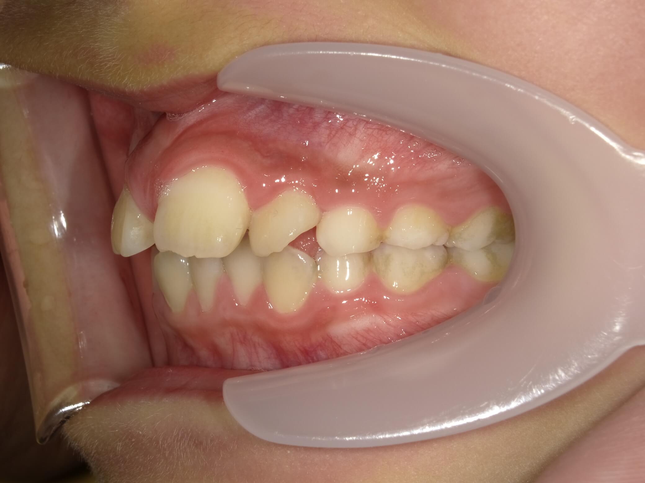
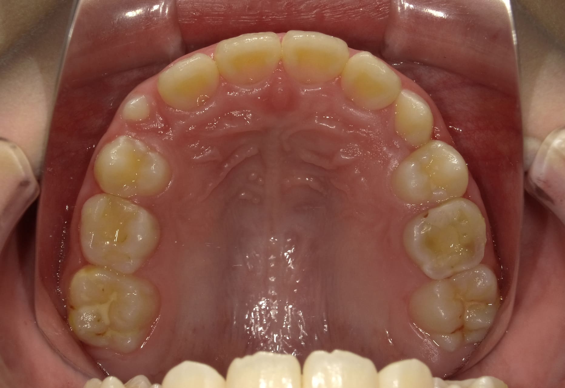
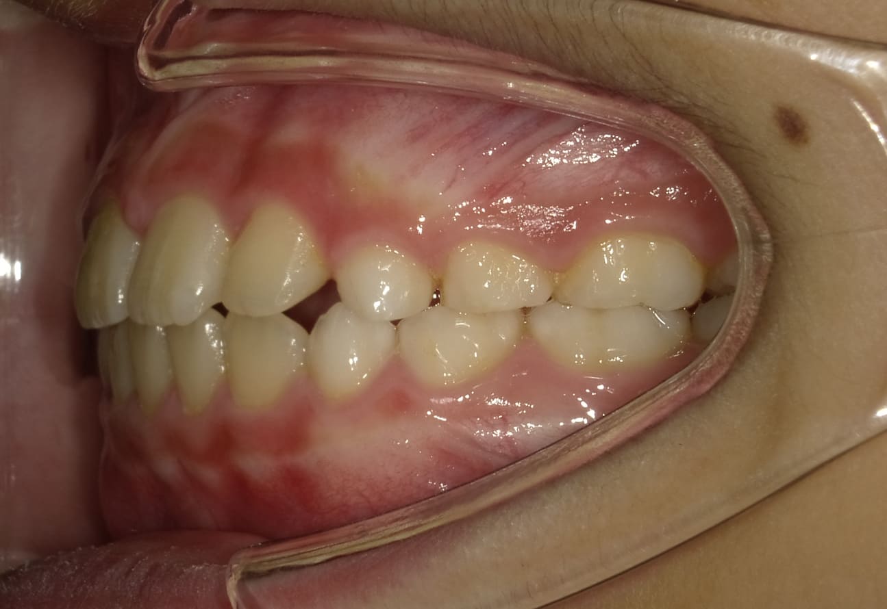
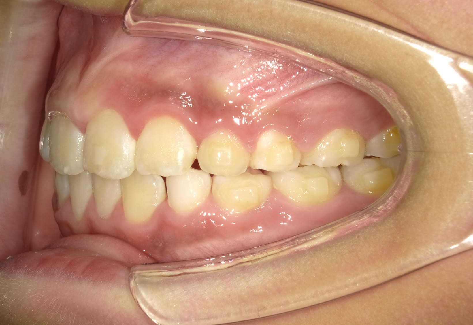
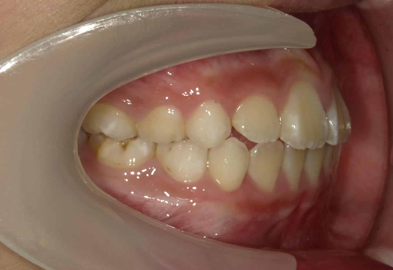
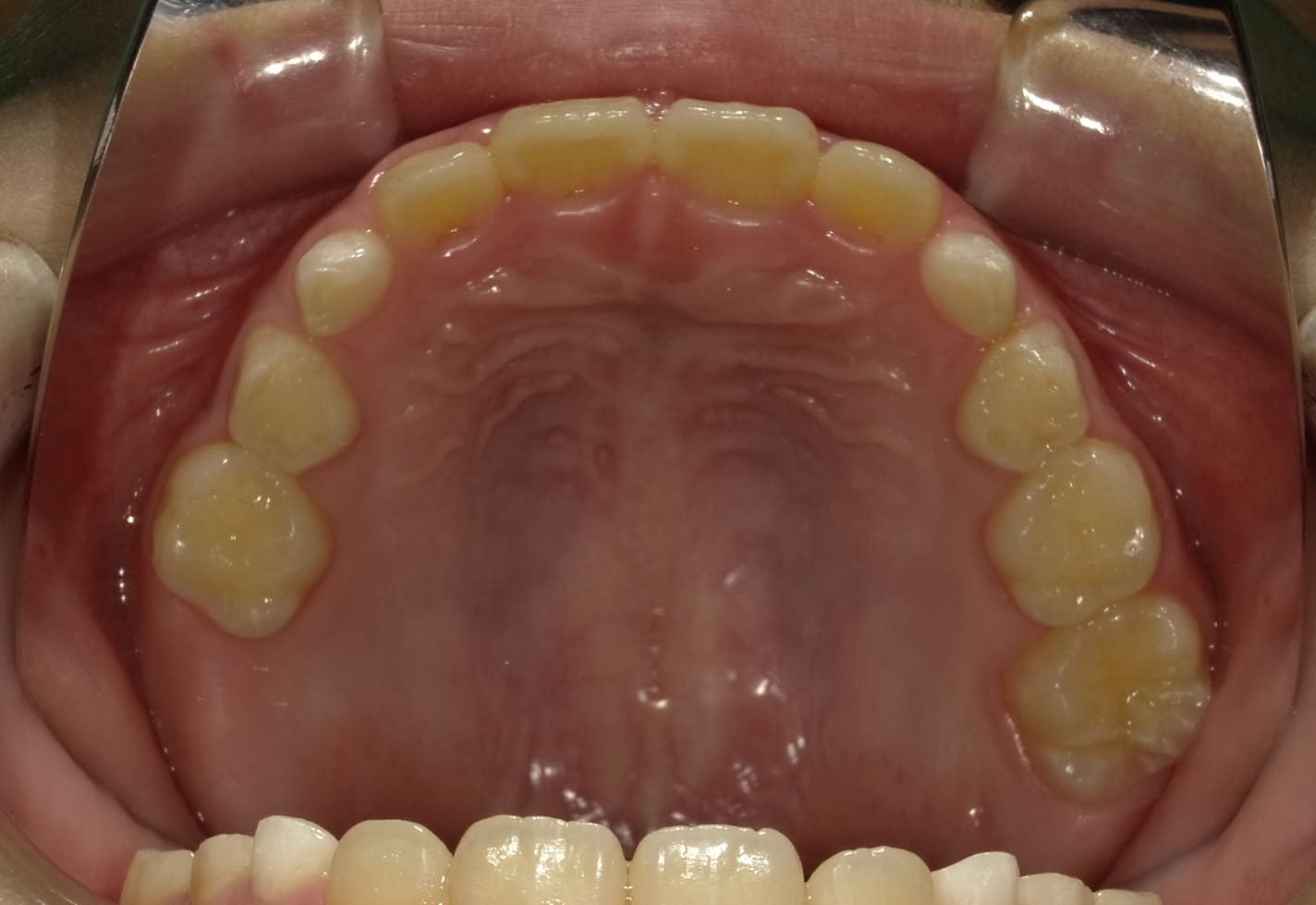
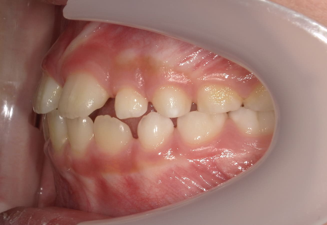
その後、2004年の開業からは年間360症例程度のマルチブラケット矯正経験を積み、さらにマイオブレース、プレオルソなど様々な装置を使用し治療を行ってきました。
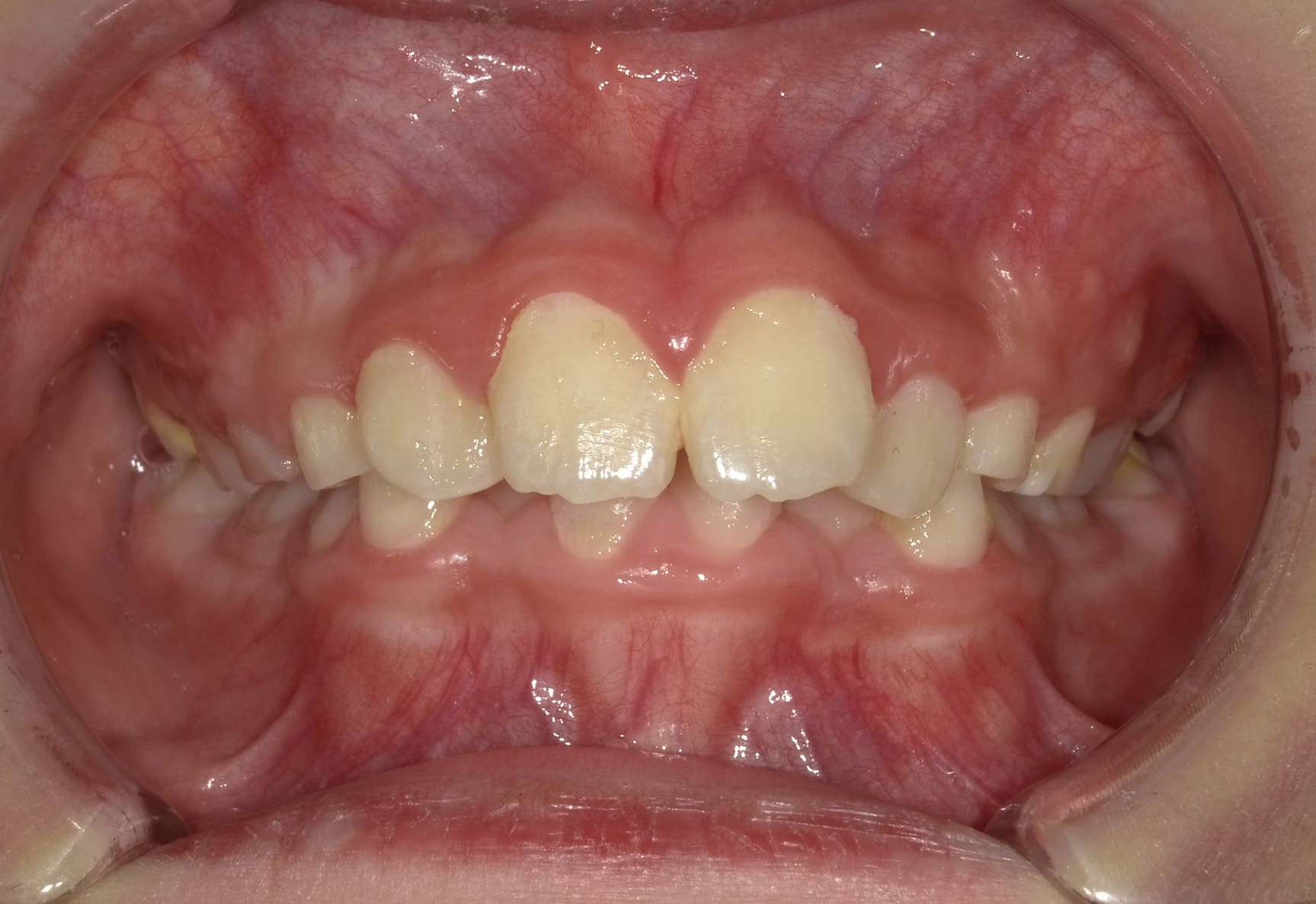
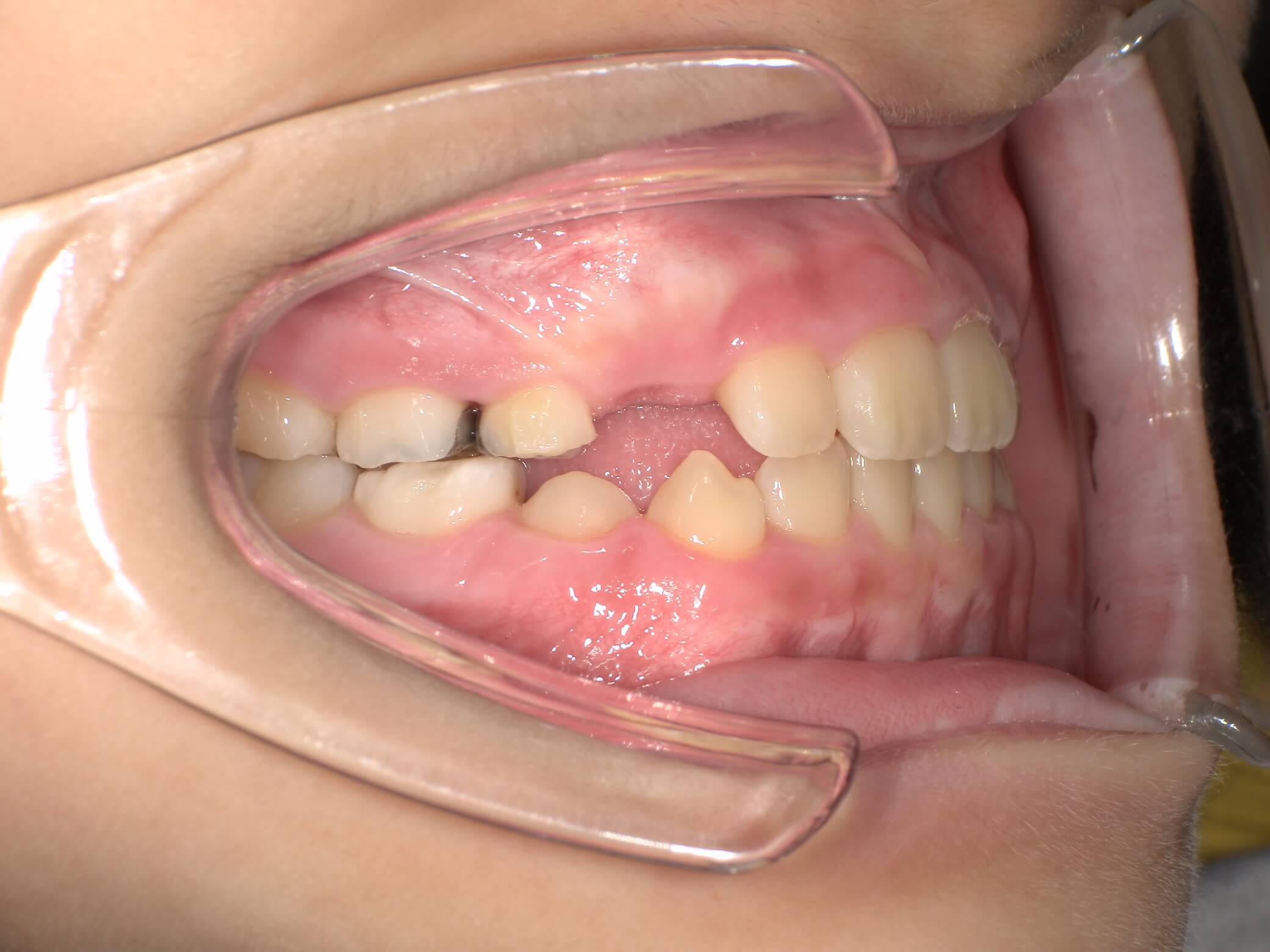
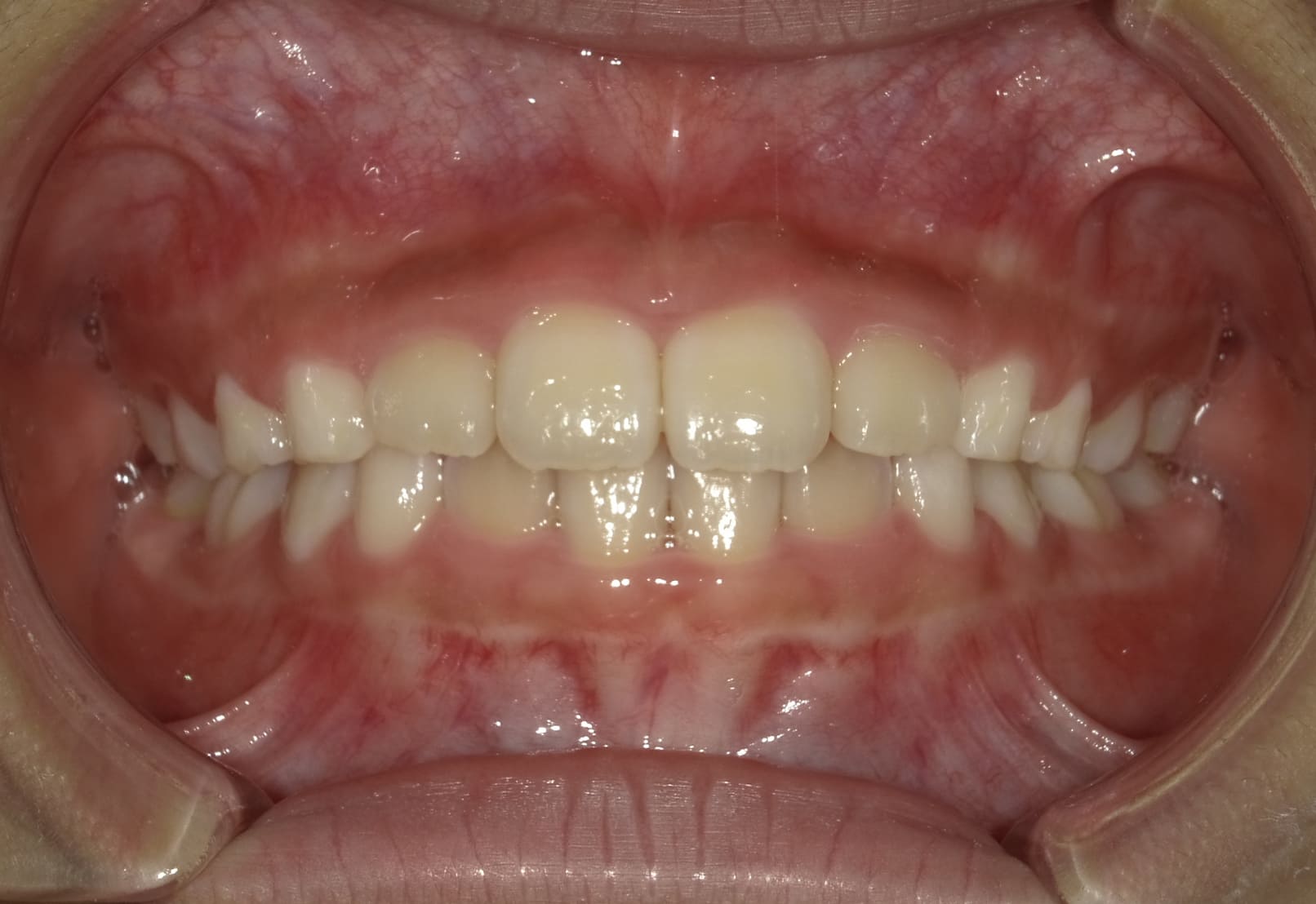
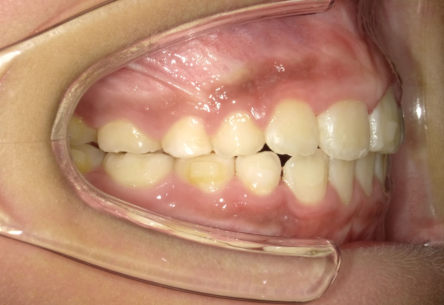
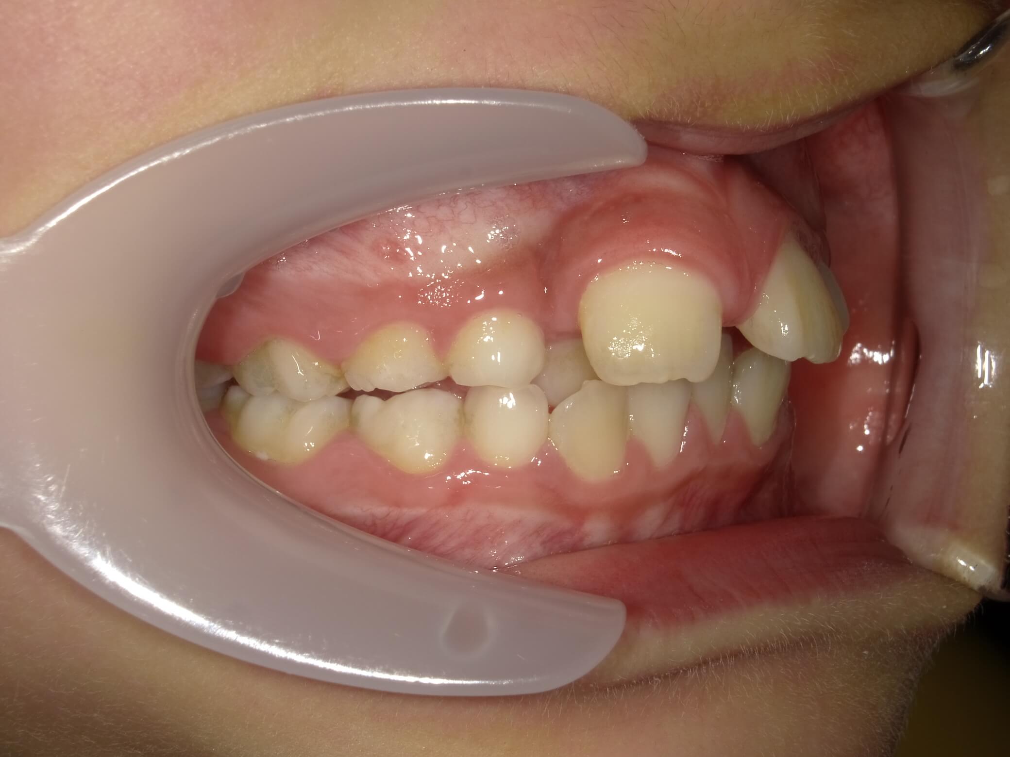
そんな経験のなかでベストだと実感した矯正装置がマウスピース型矯正治療『インビザライン』でした。
今までの治療方法と比べ患者さんの負担が少なく、そしてお口の機能の成長を妨げることなく小児矯正の本質である骨格の矯正が叶う装置。誠心誠意、矯正治療と向き合って来た経験があるからこそ、「マウスピース型矯正治療」の良さを熟知し、それぞれの患者様により適した治療を行えると考えています。
